Orbitomaxillary mass after repair of the orbital floor

Abstract
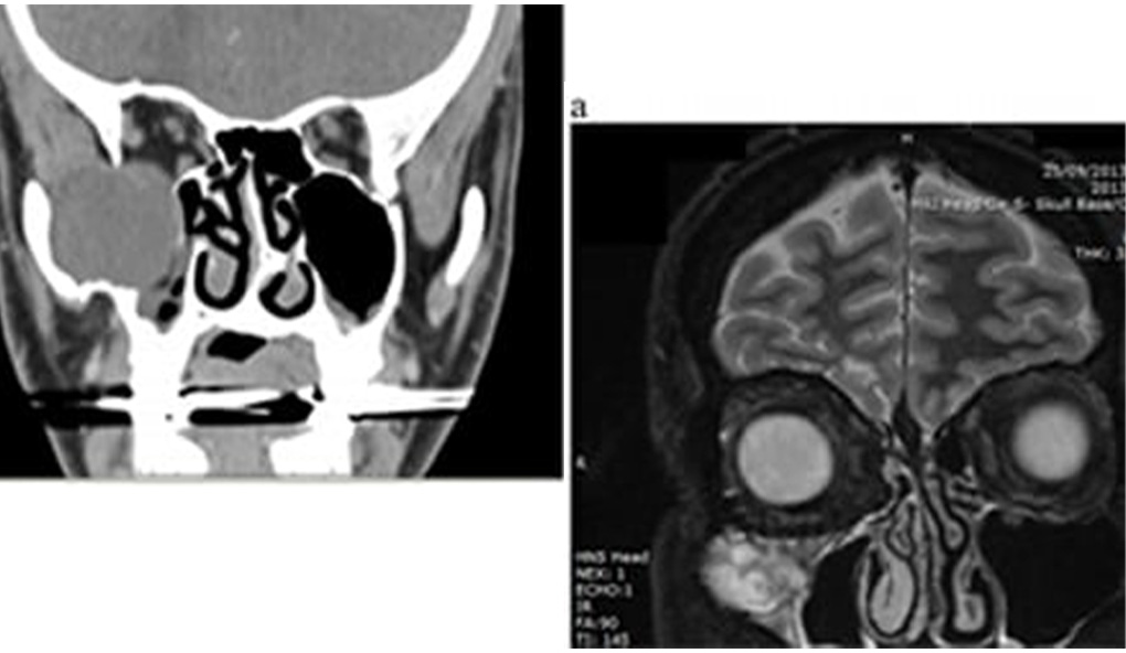
A 48-year-old man presented with an orbitomaxillary mass 31 years after repair of the orbital floor. He gave a history of progressive diplopia and paraesthesiae of the right infraorbital nerve. He also noted improvement in his long-standing post-traumatic enophthalmos. Imaging showed a large orbitomaxillary cystic mass, which was thought to be secondary to a silicone implant. The implant and the cystic mass were removed, and the orbital floor was reconstructed with titanium mesh. Histological examination confirmed an inclusion cyst. Maxillary antral lesions can present with symptoms such as sinusitis, paraesthesiae, diplopia, and orofacial pain, and they may arise from the lining of the sinus, or from surrounding structures such as the orbit, nose, or maxilla. This was a late complication of silicone elastomeric implants, and there are alternative treatments for defects of the orbital floor.
© 2014 The British Association of Oral and Maxillofacial Surgeons. Published by Elsevier Ltd. All rights reserved.